今回は、インプラントの歯周病について書きたいと思います。
インプラントの歯周病と聞きくと、えっ!インプラントにも歯周病があるのと思われるのではないでしょうか?
実は、インプラントにも歯周病が起きてしまいます。これを「インプラント周囲炎」と呼びます。すなわち、インプラントも歯と同じ様に清潔でないと知らず知らずの間にインプラントの歯周病、つまりインプラント周囲炎になってしまうのです。インプラントの発祥地、スウェーデン イエテボリ大学でもこのインプラント周囲炎が、今、まさに問題化しております。
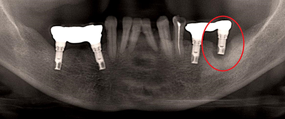
ここにある写真は、インプラント周囲炎を主訴として、よしの歯科クリニックへ来院された患者様のお写真です。(尚、患者様から許可を得て載せています。)向かって右下の奥に円があるところのインプラントの周囲の骨がなくなっている状態です。さらに、重度のインプラント周囲炎により保存不可能と診断しインプラントを撤去した時のお写真です。

インプラント治療後に発生するトラブル(合併症)には、大きく1)技術的な問題。2)生物学な問題の2つに分ける事ができます。この中でもインプラント周囲炎はインプラント治療後の合併症で最も大きな割合を占める事が分かっています。
そして、このインプラント周囲炎に対する治療が非常に難しい事も分かっています。
その理由には、1)インプラントの歯周病でもあるインプラント周囲炎の場合、歯よりも数倍早く進行してしまう事が分かっています。また、2)インプラントの表面性状が粗いため細菌感染が起こりやすく治療を困難にしていると言えます。つまり、インプラントと周囲炎の治療には経験豊富な歯周病専門医による専門的な治療や手術が必須となります。このため、欧米ではインプラントの治療の多くが歯周専門医により行われ管理されています。但し、大きな骨の再建が必要な場合や腫瘍の治療により大きく欠損した組織を回復する為に行われるインプラント治療は、口腔外科専門医が行います。
ですから、一般にインプラント治療を行うには歯周病専門医による診査・診断が欠かせません。
どんな物でもそうですが、インプラントを入れれば一生持つものではありません。
北浦和のよしの歯科クリニックでは、他院で行われたインプラント治療、その結果、インプラント周囲炎になってしまった非常に多くの患者を治療させて頂いております。
インプラントにお悩みの方、是非、歯周病専門医に診てもらいましょう。
WEB予約
