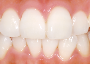
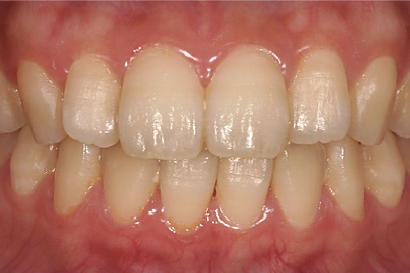
[医療ホワイトニング前]


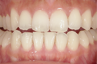
[医療ホワイトニング後]

〒330-0061 埼玉県さいたま市浦和区常盤10-10-14(北浦和駅西口 徒歩5分)
048-789-6660
ホワイトニング
whiteningホワイトニングとは、歯の表面に専用の薬剤を塗布し、エナメル質に入り込んだ歯の変色汚れを分解・漂白して、歯本来の美しい白さを取り戻す施術です。
歯は生えたときは誰でも白く透き通っていますが、月日の経過とともに様々な要因で、その白さは失われていきます。歯の表面の着色や汚れだけであれば、クリーニングによってある程度改善することができますが、歯の内面にまで変色汚れが及んでいる場合、クリーニングだけでは本来の白さはよみがえりません。そんな時は、ホワイトニングをお勧め致します。もともと歯が黄色っぽい方も、ホワイトニングによって理想の白さが期待できます。
白く美しい歯は、周囲の人たちに好印象を与えるだけでなく、ご自身の自信にもつながります。歯科が提供するホワイトニング治療で、憧れの白い歯を手に入れることが可能です。お気軽にお問合せください。
ホワイトニングには、歯科医院で提供される医療ホワイトニングと、簡易的な非医療ホームホワイトニングがあります。また、医療ホワイトニングは、オフィスホワイトニングとホームホワイトニングに分けられます。それぞれメリットとデメリットがありますので、以下をご参照ください。
歯科医院で歯科医師による診断のもと行うホワイトニングです。歯の表面の着色汚れだけでなく、内部の黄ばみも分解します。
歯の内部まで白くするホワイトニングです。








歯の内部の黄ばみ
コーヒー・お茶・タバコ等に
含まれる色素
体質や生まれつき
加齢
医療ホワイトニングには
があります。使用するホワイトニングジェルは異なるジェルを使います。
| 手法 |
歯科医療機関で行う
オフィスホワイトニング
|
ご自宅などで行う
ホームホワイトニング
|
|---|---|---|
| 時間 |
|
※使用製品により使用時間や回数が異なります。
|
| 方法 |
|
|
| メリット |
|
|
| デメリット |
|
|
ご自宅でマウスピースにホワイトニングジェルを入れ、決められた時間、
継続的に装着しホワイトニング効果を得る「ホームホワイトニング」
※こちらの項目以外にも、歯科医師による診査・診断により医療ホワイトニングができない場合があります。
医療ホワイトニングの効果には個人差があります。多くの方には良好な結果が得られますが、歯の質、変色の原因などの違いにより、その効果には個人差があります。
また、医療ホワイトニング後は徐々に元の歯の色に戻ります。
ホワイトニング後24時間以内は色の濃い飲み物・食べ物(コーヒー・カレー・赤ワイン等)、酸性度の高い飲み物・食べ物(炭酸飲料等)、喫煙は控えていただくことをおすすめしています。
継続して行うことで次第に目立たなくなります。


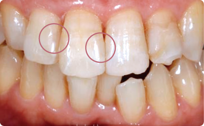
ホワイトニング後に詰め物の処置をすることで目立ちにくくなります。

ホワイトニング前

ホワイトニング後
※詰め物の色は変わりません

処置後
※詰め物の処置をすることで
目立ちにくくなります
ホワイトニング中もしくはホワイトニング後に知覚過敏症状がおきることがあります。症状のほとんどは一時的なものですが、症状がおさまらない場合は、歯科医院へご相談ください。
症状のほとんどは
徐々に消失します!
ホワイトニング後24時間以内は色の濃い飲み物・食べ物(コーヒー、カレー、赤ワイン等)酸性度の高い飲み物、食べ物(炭酸飲料等)、喫煙は控えていただくことをおすすめしております。
ホワイトニング直後は通常の歯の表面にある保護膜(ペリクル)がなくなっているためです。
医療ホワイトニングの効果には個人差があります。
多くの方には良好な結果が得られますが、歯の質、変色の原因などの違いにより、その効果には個人差があります。歯科医院へご相談ください。
おおよその目安は下記のとおりです。
オフィスの場合:1〜2時間、ホームの場合:1〜2時間×10〜14回
(歯科医院や使用する製品により回数や手順に差があります。)
個人差はあるものの、後戻りしていく傾向にあります。
色調が気になったら、再ホワイトニング(タッチアップ)を行いましょう。
マウストレー(マウスピース)の洗浄は、変形の恐れがあるため、温水では行わないでください。
汚れ、匂い、ヌメリが気になる際は、マウストレー用の洗浄剤(ホイップクレンズ等)をご使用ください。
ホイップクレンズの詳細はこちら